a dental center

치과전문센터

고양이 치과

고양이 치과 01

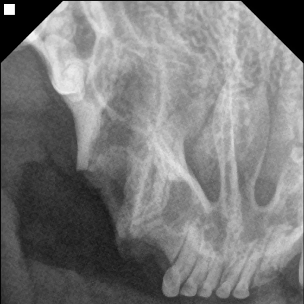
치아흡수

  • 고양이 치아 흡수의 원인은 명확히 밝혀지지 않았지만, 2살령 이상의 고양이 중 70% 이상이 치아흡수성 병변을 가지고 있을 정도로 흔한 치과 질환입니다.

  • 육안으로 문제가 없어 보이는 경우에도 치과방사선이나 Cone beam CT 촬영을 통해 치아 흡수성 병변이 확인되는 경우가 많습니다.

  • 치아 흡수는 유형에 따라 발치 방법이 조금씩 다르므로, 마취 하 구강 검사를 통한 정확한 진단이 중요합니다.

  • 뿌리를 완전히 제거할 수 없는 type 2의 경우에도 최대한 발치하기 위해 노력합니다.

* 고양이는 하악 송곳니 발치 시 턱뼈 골절을 주의해야 합니다.
* 고양이는 하악 송곳니 발치 시 턱뼈 골절을 주의해야 합니다.
뿌리동물병원
뿌리동물병원
뿌리동물병원
뿌리동물병원
뿌리동물병원
뿌리동물병원
뿌리동물병원
육안으로 확인되는 치아흡수​
뿌리동물병원
치아흡수가 치과방사선에서도 확인됨​
뿌리동물병원
육안으로 확인되는 치아흡수​
뿌리동물병원
치아흡수가 치과방사선에서도 확인됨​
뿌리동물병원
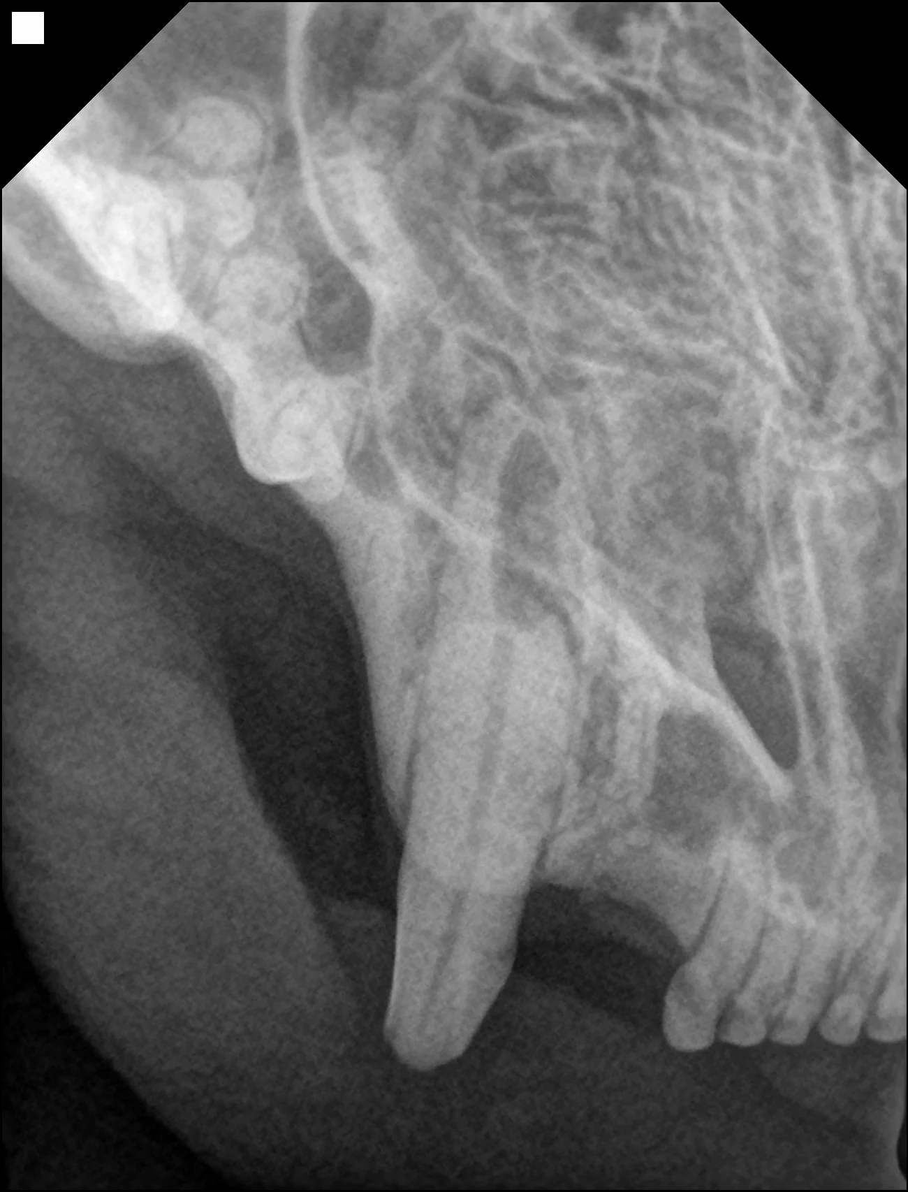
육안상 이상이 없어보이는 치아​
뿌리동물병원
치과방사선으로 확인된 치아흡수
뿌리동물병원
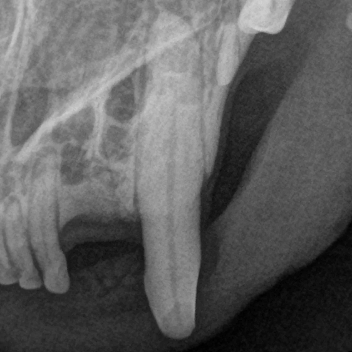
발치 후
뿌리동물병원
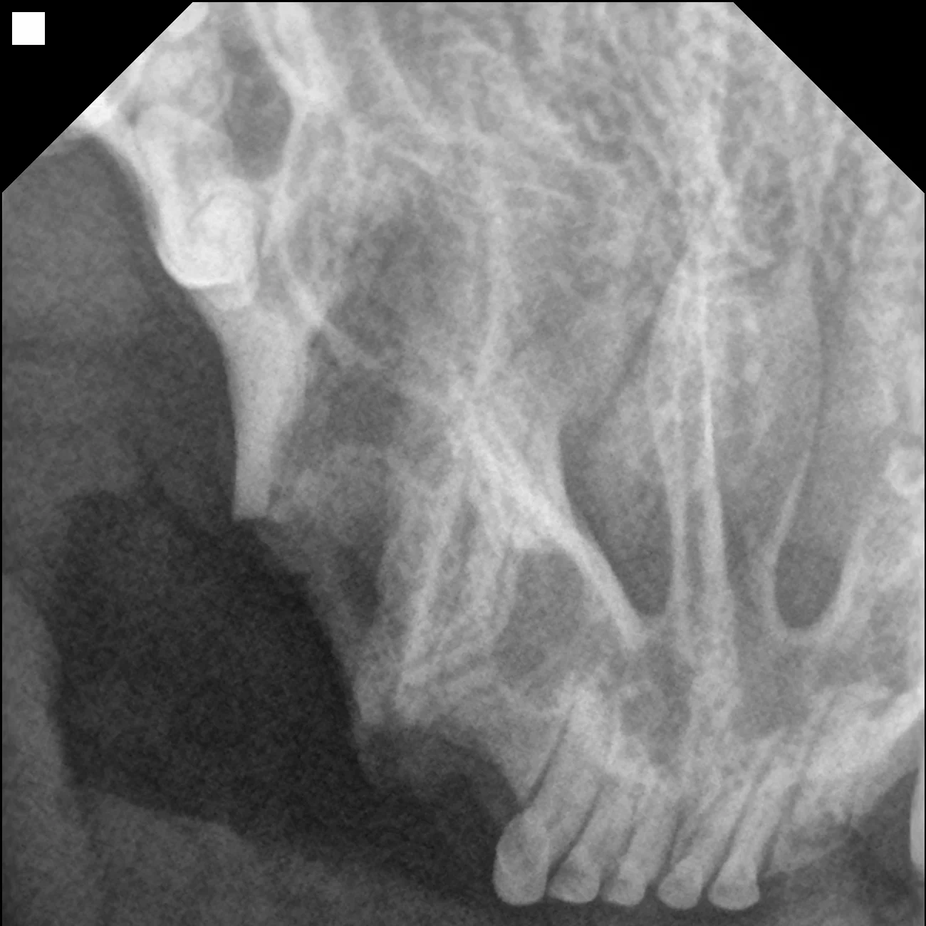
육안상 이상이 없어보이는 치아​
뿌리동물병원
치과방사선으로 확인된 치아흡수
뿌리동물병원
발치 후
고양이 치과 02

치아 파절

  • 고양이는 수직 생활을 하는 습성 때문에 높은 곳에서 뛰어내리는 경우가 많습니다. 이때 바닥에 부딪히면서 송곳니가 부러지는 경우가 자주 발생합니다.

  • 치아가 파절되어 신경이 노출되는 경우 신경치료 혹은 발치를 통해 통증을 해결해 줘야 합니다.

  • 밥을 잘 먹는다고 해서 통증이 없는 것은 아니기 때문에 반드시 치료가 필요합니다.

  • 파절된 형태, 파절 시기, 환자의 생활 습관 등을 고려하여, 치아를 뽑지 않고 신경치료를 통해 살릴 수도 있습니다.

신경치료 전
부러진 좌측 상악 송곳니
신경치료 후
신경치료 후 레진
신경치료 전
부러진 좌측 상악 송곳니
신경치료 후
신경치료 후 레진
아릉 20251110164448 IO 0
부러진 우측 상악 송곳니
아릉 20251110164448 IO 1
발치 후
아릉 20251110164448 IO 0
부러진 우측 상악 송곳니
아릉 20251110164448 IO 1
발치 후
고양이 치과 03

구내염 전발치

  • 만성 구내염(feline chronic gingivostomatitis, FCGS)으로 목구멍염까지 확인되는 경우 통증 완화를 위해 전발치를 진행합니다.

  • 뿌리를 남기지 않았는지 수술 전/후 치과방사선 촬영을 통해 확인합니다.

  • 전발치 후에도 개선되지 않는 구내염의 경우 내과적 치료를 이어서 진행합니다.

반려동물 전발치 전
발치 전 치과 방사선
반려동물 전발치 후
발치 후 치과 방사선​
반려동물 전발치 전
발치 전 치과 방사선
반려동물 전발치 후
발치 후 치과 방사선​
반려동물
발치 전 목구멍염 확인
반려동물
발치 후 구내염 개선
반려동물
발치 전 목구멍염 확인
반려동물
발치 후 구내염 개선
고양이 치과 04

유년기 치은염 / 치주염

  • 생후 6개월에서 2년 사이의 어린 고양이에게 발생하는 구강 질환입니다.

  • 과도한 면역반응에 의한 구강 염증으로 생각되며, 어린 시기에 관리가 잘 되지 않는다면 치주염으로 진행됩니다.

  • 짧은 주기의 구강 세정(스케일링)을 통해 구강 건강을 지킬 수 있도록 돕습니다.

  • 만성 구내염과는 달리 목구멍염이 없는 것이 특징입니다.

뿌리동물병원
나이가 어리고, 치석이 많지 않음에도 잇몸 염증이 심한 상태
뿌리동물병원
만성구내염과 달리 목구멍염은 없음
뿌리동물병원
나이가 어리고, 치석이 많지 않음에도
잇몸 염증이 심한 상태
뿌리동물병원
만성구내염과 달리 목구멍염은 없음